Pies

No le es fácil al hombre de cabeza admitir que “el hombre ha empezado por los pies” (Leroi-Gourhan), bipedia y movilidad del Sinántropo….
(Régis Debray, Vida y muerte de la imagen)

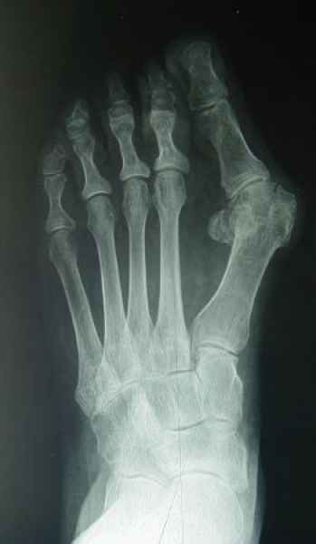
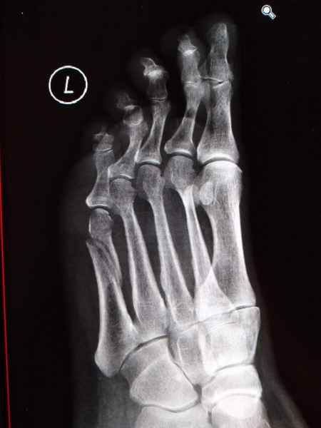
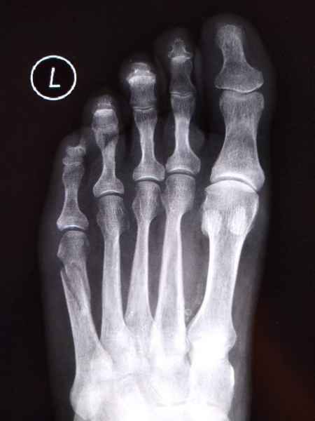
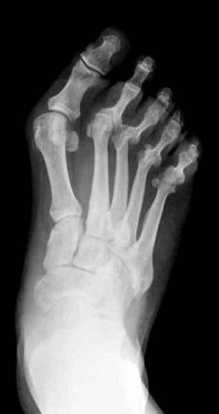
El pie es el órgano distintivo y característico de la especie humana, la única criatura que marcha erguida. El pie es una muy compleja estructura de arquitectura perfecta, adaptado a su función de apoyo, traslación, salto, con una riquísima sensibilidad que le permite detectar las más leves imperfecciones del suelo para estabilizar la marcha.

El pie tuvo una gran importancia en el desarrollo de la mente humana y esto explica la estrecha relación entre el cerebro y el pie. En la corteza sensitiva cerebral el pie ocupa una vasta zona, equivalente a la de la cara, la mano o el tronco.

La marcha no solo es característica de la especie humana sino también de cada persona, y más aún varía según el estado de ánimo del momento. Una patología en los pies, se traduce en el rostro, en el ánimo, en el psiquismo. No sólo el dolor produce estos efectos, también un pie deformado o poco estético. En nuestra sociedad, la estética constituye un valor muy apreciado y estas alteraciones causan vergüenza fundamentalmente en las mujeres, que esconden en la playa sus pies en la arena y no pueden usar calzados elegantes.

Tanto la estructura del pie como su funcionalismo que es la marcha, pueden ser asiento y manifestación respectivamente de alteraciones locales ó sistémicas, por lo que su cuidadoso examen resulta de extrema utilidad diagnóstica.

Algunos giros y refranes populares con antecedentes inciertos, refieren al pie como elemento central: Poner los pies sobre la tierra, Con pies de plomo, Hacer pie, Pisar fuerte, En pie de guerra, En dos patadas, A pies juntillas, Dormir a pata suelta, Hacer pata ancha, Estar bien plantado, No dejarse pisotear, No le llega ni a los talones, Derecho al pataleo, Caí parado, Me levanté con el pie izquierdo, Estoy con un pie afuera, Sacar los pies del plato, No dar pie con bola, Bailar en una pata, Es un patadura, Le dio una pataleta, Perdió pie, Salió mal parado, Entró con el paso cambiado, No tiene ni pie ni cabeza, La mentira tiene patas cortas, Le tocaron su talón de Aquiles, Lo pusieron de patitas en la calle, Pisándole los talones, Con un pie en el estribo, Le pusieron un pie encima, Estiró la pata, Metió la pata.

Dr. Juan Pablo Peralta, Ortepedia y Traumatología, Especialista en pies, Instituto Gamma

Un toque de arte

Pies de Maradona
Pies de cristo
Cenicienta
Bailarín